Family Dentist in St. John IN

Smile Gallery

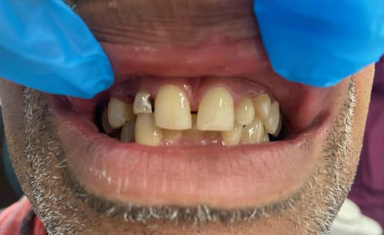
Below is one example of a full mouth reconstruction case done by Dr. Marianthi

St. John Smiles Family Dentistry | Veneers, All-on-4 reg  and Dentures
St. John Smiles Family Dentistry | Dental Fillings, Pediatric Dentistry and Emergency Treatment

Before

St. John Smiles Family Dentistry | Botox reg , Digital Scanners and All-on-4 reg

After

St. John Smiles Family Dentistry | Laser Dentistry, Teeth Whitening and Implant Dentistry

Before

St. John Smiles Family Dentistry | Dentures, TMJ Disorders and CBCT

After

Family Dentist in St. John IN

Before

Cosmetic Dental Office 46373

After

Dental Implants Dentist in St. John IN

Before

Family Dentist in St. John IN

After

Cosmetic Dental Office 46373

Before

Dental Implants Dentist in St. John IN

After

St. John IN Cosmetic Dentist

Before

Dental Office in St. John IN

After

St. John IN Cosmetic Dentist

Before

Dental Office in St. John IN

After

Dental Office in St. John IN

Before

Dentist in St. John IN

After

Contact Us

Submit

Thank You!

We appreciate you taking the time to visit our site. We'll review your message and be in touch with you soon.

Continue
Dentist in St. John IN

Explore More

Get in Touch

Address:

9486 Wicker Ave, St. John, IN 46373

Hours of Operation

Monday
10:00 am - 7:00 pm
Tuesday
11:00 am - 7:00 pm
Wednesday
8:00 am - 5:00 pm
Thursday
9:00 am - 6:00 pm
Friday
9:00 am - 4:00 pm
Saturday
9:00 am - 3:00 pm
Every Other